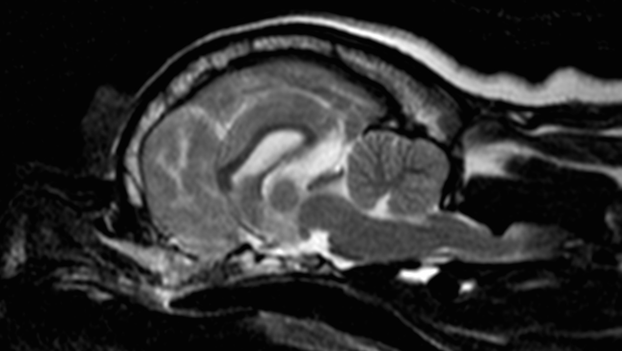
Пациент Собака породы мопс возраст 2 года Владельцы отмечают шатающуюся походку, нарушение координации, периодически испытывает болевые ощущения.
При проведении мрт выявлена дорсальная компрессия спинного мозга в сегменте между первым и вторым шейными позвонками. Это врожденная аномалия краниовертебрального перехода
Данная патология носит название впадина Дьюи



