Кот кличка «Ксавьер » возраст 6 мес владельцы обратилась в клинику по поводу изменения походки, нарушения координации, поворота головы вправо, и закрытия глаза третьим веком.
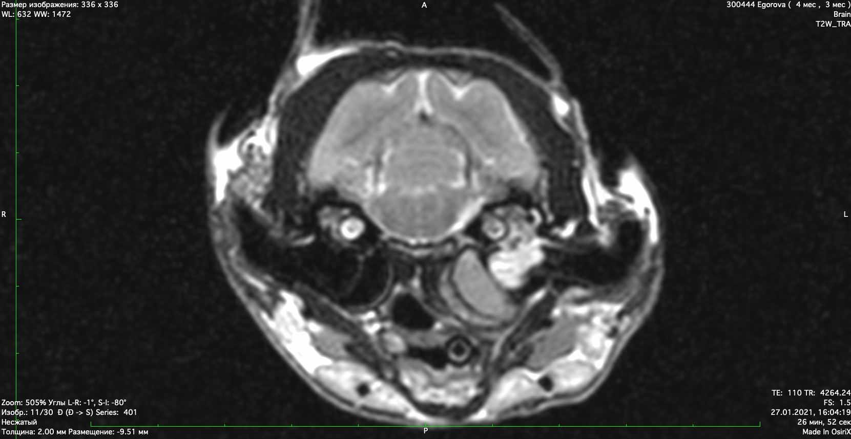
При проведении мрт диагностики установлено- признаки полипа в полости среднего уха, признаки гнойного содержимого в булле. Поставлен диагноз-полип, средний отит.
Проведено удаление полипа и промывание полости среднего уха






